2026年1月22日
2026年になってもう1月も終わろうとしていますね…ブログの更新もう少しペース増やせるようにしていきたいです。
寒さもかなり本格化してきていて、息子たちと外で遊ぶにも天気と時間帯がかなり限られて遊ぶところもワンパターン化しているので早く暖かくなってほしいです。笑
さて今回は歯の保存に関する内容です。よく『何回も同じところが外れる』『歯医者さんに歯がないから残せないと言われた』というお話を伺うことがあります。
その原因の一つに『フェルール(効果)がない』ことがあります。
ではフェルール(効果)とは何か
歯を被せ物でぐるっと一周包み込むことで、咬む力をしっかり受け止め、被せ物も外れにくくなる効果のことです。

具体的には『厚みが1mm以上で高さが1.5mm以上歯茎より上に歯が全周残っていること』が必要になります・

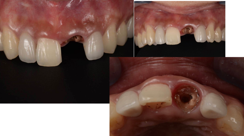
実際フェルールがない状態はこんな感じです。

実際こういう状態はよく見られ、この方も半年前にセラミックで被せたのに土台ごと3回も歯が取れるといった主訴で来院されました。
こういう場合はなぜ取れてしまうのかきちんと原因を導き出すことが大切です。今回はフェルールがないことだと考えられました。
フェルールがない場合はフェルールを獲得する必要があります。その方法は大きく2つあります。
一つは、『クラウンレングスニング』と言って『歯茎と骨を切除して確保する方法』です。
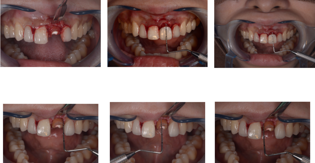
もう一つは『エクストリュージョン』と言って『歯を引っ張って確保する方法』です。
上写真の患者さんは前歯ですので歯茎を骨だけ削ってフェルールを確保しようとすると周りとのバランスで見た目が悪くなってしまいます。
なので今回は患者さんとのカウンセリングの結果『エクストリュージョン』を行なっていくことになりました。

このような歯を引っ張るための装置を製作し口腔内に装着しゴムで引っ張ります。

大体3、4週で引っ張る作業は終了です。引っ張ると周囲の骨や歯茎も一緒に伸びてきますので、形態修正のための外科処置は必要になりますが、

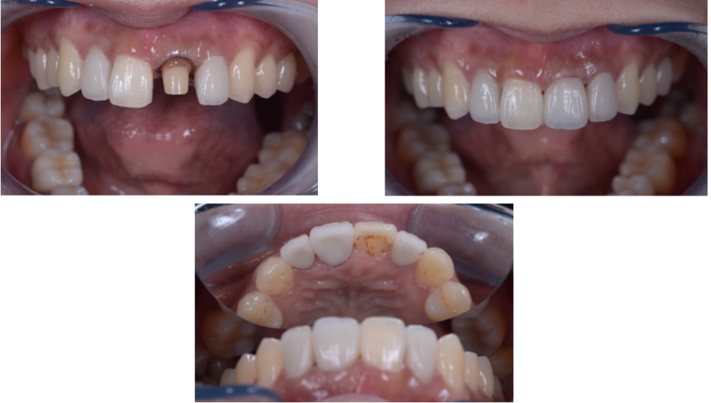
十分な量のフェルールが得られ、ラバーダムもかけられる量の歯質が確保できました。


色調は患者さんの希望で他のセラミックの色に合わせております。
改めて下に術前と術後の写真を比較で出します。


フェルールが得られていることがわかりますよね?
この写真は僕の勤務医時代に処置をしたものですが現在まで約5年は一度も外れることなくしっかり機能しており、非常に満足いただいております。
この患者さんはフェルールの説明は前医からは受けていなかったとのことでした。
もちろんフェルールがない状態でもなんとか土台を立てて残す治療が絶対悪とは思いませんが、しっかり患者さんに現状とリスク、そして治療の選択肢を提示しその結果そういったリスクも承知の上での処置なのか、そうでないのかというところは全然意味合いが違うと思います。
当院ではそういった患者さんを少しでもなくすためにカウンセリングに力をいれ、患者さんへの情報提供・リスクや治療の選択肢をしっかり説明させていただきます。
歯の保存やその他お口のお悩みはお力になれることがあるかもしれませんので一度ご予約いただき、実際にお話をお伺いさせていただければと思います。